在日复一日的生活琐事中,刷牙这件小事似乎总是被不经意间忽略。你是否曾有过这样的疑问:每天刷两次牙和刷一次牙,真的有那么大的差别吗?就让我们一起揭开这个谜团,听听医生怎么说,或许你会发现,原来自己一直以来的刷牙习惯都错了。

刷牙这件小事,关乎大健康
清晨的第一缕阳光透过窗帘,你懒洋洋地从床上爬起,拿起牙刷,匆匆几下,便完成了每日的例行公事。晚上,拖着疲惫的身躯回到家中,洗漱台前,你再次拿起牙刷,重复着早晨的动作。你是否意识到,这看似简单的刷牙动作,实则关乎到你的口腔健康,乃至全身健康?

刷牙,不仅仅是为了去除口腔异味,更是为了预防蛀牙、牙周病等口腔疾病。而每天刷牙的次数,直接影响着这些疾病的预防效果。那么,每天刷两次牙和刷一次牙,究竟有何不同?让我们一起走进医生的视角,探寻真相。
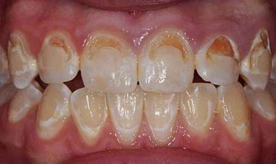
一、牙菌斑:口腔健康的隐形敌人
要理解刷牙的重要性,首先得认识牙菌斑。牙菌斑是由食物残渣、细菌、唾液等混合而成的粘性薄膜,它紧紧附着在牙齿表面和牙缝中。如果不及时清除,牙菌斑会逐渐硬化形成牙结石,刺激牙龈,引发牙龈炎、牙周炎等口腔疾病。

更糟糕的是,牙菌斑中的细菌还会分解食物残渣产生酸性物质,腐蚀牙齿表面的牙釉质,导致蛀牙的发生。
牙菌斑的形成是一个持续不断的过程,而刷牙则是打断这一过程的重要手段。通过刷牙,我们可以有效清除牙齿表面和牙缝中的牙菌斑,减少细菌滋生,保护口腔健康。刷牙的次数和方法却直接影响着清除牙菌斑的效果。
二、一次与两次:量变引发的质变
一次刷牙的局限性
每天仅刷一次牙,无论是早晨还是晚上,都显得力不从心。白天的食物残渣和细菌在牙齿表面和牙缝中积累,单次刷牙难以彻底清除。尤其是在晚上,唾液分泌减少,口腔自洁能力下降,食物残渣和细菌更容易滋生。

如果不及时刷牙清洁,这些有害物质会在夜间持续作用,增加口腔疾病的风险。
研究表明,晚上不刷牙的人群患牙周病的几率明显高于晚上刷牙的人群。这是因为夜间口腔内的细菌活动更加活跃,如果不及时清除,细菌会在牙齿表面和牙缝中大量繁殖,引发牙周病等一系列口腔问题。

两次刷牙的必要性
相比之下,每天刷两次牙则显得更为全面和有效。早晨起床后刷牙,可以清除夜间积累的细菌和异味,为一天的生活和工作打下良好的口腔基础。
晚上睡前刷牙则更为重要,它可以彻底清除白天进食后残留的食物残渣和细菌,减少夜间口腔细菌滋生的机会,保护牙齿和牙龈的健康。

通过每天刷两次牙,我们可以更有效地控制牙菌斑的形成,减少口腔疾病的发生。良好的刷牙习惯还能带来清新的口感和自信的笑容,提升我们的生活质量。
三、科学刷牙:方法比次数更重要
仅仅增加刷牙次数并不足以保证口腔健康。正确的刷牙方法同样至关重要。医生推荐的巴氏刷牙法(Bass Method),是一种科学有效的刷牙方式。
它强调牙刷的刷毛与牙齿表面呈45度角,轻轻施压进入龈沟内,做短距离的水平颤动后拂刷。这种方法不仅能够有效清除牙菌斑和食物残渣,还能按摩牙龈,促进口腔健康。

除了巴氏刷牙法,还有一些其他的刷牙方法也值得借鉴。例如,旋转刷牙法适用于清洁牙齿的咬合面和外侧,而竖刷法则适用于清洁牙齿的内侧和舌侧面。我们可以根据自己的口腔情况和喜好选择适合自己的刷牙方法,但关键是要确保刷牙的效果。
四、医生视角:刷牙习惯与健康息息相关
作为一名医生,我深知刷牙习惯对口腔乃至全身健康的重要性。长期保持每天刷两次牙的好习惯,可以显著降低蛀牙、牙周病等口腔疾病的风险。口腔健康与全身健康密切相关,口腔疾病如不及时治疗,还可能引发心血管疾病、糖尿病等多种全身性疾病。
研究表明,口腔中的细菌可能通过血液循环进入心脏,引发心脏疾病。而良好的刷牙习惯则能有效减少口腔细菌的数量,降低这一风险。口腔健康还与孕妇的健康和胎儿的发育密切相关。孕妇如患有牙周病等口腔疾病,可能增加早产和低体重儿的风险。

我们应该从细微处入手,养成良好的刷牙习惯。每天至少刷两次牙,每次刷牙时间不少于三分钟,采用正确的刷牙方法,如巴氏刷牙法。定期更换牙刷和牙膏,保持口腔清洁和卫生。
五、细节决定成败:刷牙的注意事项
除了刷牙的次数和方法外,还有一些细节也需要注意,以确保刷牙的效果。选择合适的牙刷和牙膏至关重要。牙刷的刷头应适中,刷毛应柔软且有弹性,以便更好地清洁牙齿和牙龈。牙膏则应选择含氟牙膏,因为氟化物可以有效预防蛀牙。

刷牙的力度也需要掌握得当。过轻的刷牙力度可能无法有效清除牙菌斑,而过重的刷牙力度则可能损伤牙齿和牙龈。我们应该用适中的力度刷牙,以确保既清洁又保护口腔健康。
刷牙的时间也需要注意。每次刷牙时间应不少于三分钟,以确保每个牙齿和牙缝都能得到充分的清洁。我们还应养成饭后漱口的习惯,以及时清除食物残渣和细菌。
六、从儿童到老人:不同人群的刷牙建议
不同年龄段的人群在刷牙方面也有着不同的需求和建议。对于儿童来说,由于他们的牙齿和牙龈比较娇嫩,因此应选择软毛牙刷和儿童专用牙膏,并教会他们正确的刷牙方法。家长还应监督孩子刷牙,确保他们养成良好的刷牙习惯。

对于青少年和成年人来说,他们可能面临着更多的口腔问题,如牙周炎、牙龈炎等。他们应更加注重口腔清洁和卫生,坚持每天刷两次牙,并定期到口腔科进行检查和治疗。
对于老年人来说,由于他们的牙齿和牙龈可能已经出现萎缩和松动的情况,因此应选择软毛牙刷和温和型牙膏,并采用更加轻柔的刷牙方式。老年人还应特别注意牙缝的清洁,以防止食物残渣和细菌的滋生。

七、个人观点:从细微处关爱健康
在我看来,刷牙这件小事,实则蕴含着大学问。它不仅仅关乎到我们的口腔健康,更与我们的全身健康紧密相连。我们应该从细微处入手,养成良好的刷牙习惯。
每天至少刷两次牙,每次刷牙时间不少于三分钟,采用正确的刷牙方法,如巴氏刷牙法。定期更换牙刷和牙膏,保持口腔清洁和卫生。

我还想强调的是,刷牙只是口腔健康的一部分。我们还应该注意饮食习惯、定期口腔检查等方面的问题。减少甜食和碳酸饮料的摄入,多吃富含纤维的食物;定期到口腔科进行检查和治疗,及时发现并处理口腔问题。
通过养成良好的刷牙习惯和关注口腔健康,我们可以有效预防口腔疾病的发生,提升生活质量。我们还能为家人和身边的人树立榜样,共同营造一个健康、美好的生活环境。
八、结语:让健康从“齿”开始

通过今天的探讨,我们不难发现,每天刷两次牙和刷一次牙的区别远不止于次数那么简单。它关乎到我们的口腔健康、全身健康乃至生活质量。让我们从今天开始,重视刷牙这件小事,养成良好的刷牙习惯。让健康从“齿”开始,为我们的生活增添更多的色彩和活力。
在未来的日子里,愿我们都能拥有一口健康美丽的牙齿,笑对人生,享受生活。也希望我们能将这份关爱传递给身边的人,共同守护口腔健康,共创美好未来。
参考文献:
[1]张旭,杜函泽,翟文昊,等.青少年刷牙频率与血液指标的相关性:横断面观察性研究[J].协和医学杂志,2024,15(04):960-967.

本文地址:https://www.id99.com/health/1695.html
加入我们:微信:搜索“ID99Tech”
版权声明:本文采用[BY-NC-SA]协议进行授权,如无特别说明,转载请注明本文地址!

牙周炎是一种常见的口腔疾病,很多人可能并没有意识到,自己的口腔问题会慢慢引发这种严重的疾病。牙周炎不仅会影响口腔健康,还可能与全身健康问题相互关联,严重时甚至可能导致牙齿松动脱落。如果不及时治疗,还可能影响到心脏糖尿病等疾病的控制。根据医生的研究,许多患有牙周炎的人并不是无缘无故地得上了这种疾病。其

适量补锌能够显著提升人体免疫力,还能有效延缓衰老过程。这一发现立即引发了全球范围内的热烈讨论,也让人们开始重新审视自己的饮食结构。究竟该如何通过日常饮食来补充锌元素呢?本文将为大家揭晓8道增强免疫力的补锌菜谱。在深入探讨这8道菜谱之前,我们先来了解一下锌元素对人体的重要性。锌是人体必需的微量元素之一